Home » Dental Implants

Are you missing a tooth and searching for a permanent solution to tooth loss? Dental implants may be the perfect solution to improve your quality of life and give you the smile you have always wanted.
At Three Rivers Dental, Dr. Reilly and our caring and compassionate dental team are dedicated to helping our patients achieve their oral health goals in an anxiety-free environment.
A dental implant is an artificial tooth root that provides the foundation for future restorations like crowns or dentures. Most implants are made of titanium.
Dental implants connect with both the soft tissues, the gums, and the hard tissues, the one, in your mouth. Dental implant systems have a body, an abutment (a connecting structure), and an abutment fixation screw. The dental implant body goes into the jawbone where the root of your tooth used to be.
The abutment screw attaches the abutment to the body. Most implants are endosteal implants. An endosteal implant is usually made from titanium or ceramic materials. They help the implant’s screws or blades stay in place after getting placed in your jawbone by an implant specialist.

At Three Rivers Dental, we use digital implant dentistry to process your new custom abutment and porcelain implant tooth/crown. Dr. Reilly uses a CAD/CAM (3D Printer) and a digital impression to fabricate your abutment and implant crown in the office without the use of goopy impression materials. Using a 3D computer simulation allows us to process your implant tooth much faster than traditional methods, with delivery often being scheduled the same week or day. Digital impressions also allow for a more accurate restoration, reducing your discomfort after the procedure, recovery time, and potential complications.
Dental implants might be recommended if you have lost one or more of your permanent adult teeth. Losing a tooth can have a significant impact on your life. You might struggle to eat, experience altered speech, or not feel as confident about your smile. Dental implants can be an excellent option if this sounds familiar to you. Dental implants are also worth considering for people who have lost one or more teeth because of periodontal disease or an injury and would rather not wear dentures.
Dr. Reilly will evaluate your overall health and the health of your bones, teeth, and gums to determine if dental implants are right for you. You will need to have enough bone in your jaw to support the implant. You also need to be in good health to ensure you can safely recover after having dental implants.
This 78 year old patient did not like her dark smile and crooked teeth. During her consultation with Dr. Reilly, she stated that she was too old for braces or aligners and that she wanted her new smile as soon as possible. Dr. Reilly suggested a combination of cosmetic and implant dentistry to reach her esthetic goals.
Dr. Reilly restored her front 6 teeth with esthetic E.max crowns to straighten and brighten her smile. He also fabricated in office 3D milled implant crowns for her 2 missing back teeth to improve her chewing ability and take some of the biting pressure off of her new front teeth.

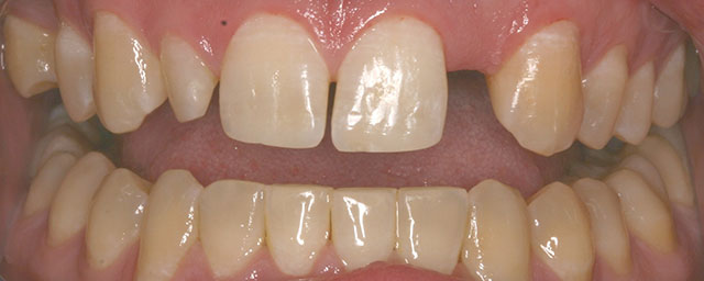
25 year old patient complained of the overall appearance of his smile. He especially did not like the gap between his front teeth and the missing tooth. Dr. Reilly placed an implant and crown to restore his missing tooth and completed limited orthodontics to close the spaces in his smile.


A single tooth implant replaces a single tooth without sacrificing the health of other teeth around it. Single tooth implants also look and function like natural teeth while preserving the bone.
The implant will integrate with your jawbone, allowing it to stay healthy and complete. Placing the implant involves putting it in your jaw.
The implant and bone will bond together, forming an anchor for the artificial tooth over two to six months. During this time, you’ll have the option to wear a temporary tooth replacement at the site of the implant.
Multiple tooth implants are necessary if you have several teeth missing. These implants look and function like your natural teeth.
They also replace the damaged teeth without needing support from any nearby teeth. Choosing multiple tooth implants is decay-resistant, allowing you to have a healthier smile. You may be able to wear temporary teeth over the implant site. If not, your dentist will screw a temporary healing cap into the top of each implant.
The healing cap, or abutment on top of the implant, seals off the interior from the rest of the mouth. Over the next two to six months, the implants and your bone will bond together and form anchors for your new restoration.
If you’re missing all your teeth, getting full mouth dental implants replaces them and some of their roots. Full mouth dental implants will look and function like natural teeth. Dental implants are designed to last a lifetime but still require occasional maintenance as well as good hygiene habits.
Implant overdentures replace some or all teeth by connecting dentures to implants that snap into place in your jaw. These dentures are removable and much easier to clean than traditional dentures.
Your dentist will place dental implants in the jaw to put in implant overdentures. They will leave the implants to adhere to the jawbone and create an anchor. Your dentist then creates a custom set of overdentures that comfortably fit in your mouth. The overdentures will match the shape and color of your natural teeth and will get attached to the implants. Connecting them ensures a secure fit that won’t slip.
If you’ve experienced bone loss in the jaw, you may need dental bone grafting to replace lost bone. Dental bone grafting adds volume and density to your jaw if bone loss occurs. Dental bone grafts can make you a better candidate for dental implants because it restores your jaw to the way it should be after tooth loss, trauma, or gum disease.
Digital dental implant crowns are especially beneficial because it’s more precise and accurate than traditional dental implant procedures. Digital impressions eliminate the need for goopy impression materials that are often uncomfortable for patients. Having more accurate and precise impressions allows your new tooth to be custom-designed via AI on the computer. CAD/CAM design also speeds up the fabrication time, most patients are able to have a delivery appointment the same week or day, rather than the lab fabrication process that can take several weeks.

You will be given instructions on how to take care of your dental implants after having them implanted. While each care plan is unique to the patient, you’ll need to keep up with regular brushing and flossing, so your implant stays clean with no plaque buildup. Regular follow-up visits at our office and routine cleanings are also essential to ensure your teeth, gums, and new dental implant are all clean and healthy. You should also refrain from smoking. Be sure to let us know right away if your implant becomes loose, or painful. If you take good care of your dental implants, they will last you a lifetime.
Are you interested in learning more about dental implants? Schedule an appointment at Three Rivers Dental in Greenland, NH, now!
We are committed to offering every client personalized, compassionate care that is based on their own dental vision and health values. We are here to assist you in achieving YOUR goals. Request an appointment to get started today!
Get started